Chapter 6 Other Sensory Systems
Modified: 2025-08-25 1:18 PM CDST
Notice the comparative analysis on p. 187. "A pine needle fell. The eagle saw it. The deer heard it. The bear smelled it." Notice the senses humans do not possess: magnetic detection, sonar detection, and electrical detection.
Module 6.1 Audition (p. 187)
-
Hearing alerts us to many types of useful information
-
Auditory signals are sensed as periodic compressions of air, water, or other media
Sound and the Ear
-
Humans experience hearing by detecting sound waves
-
Sound waves are periodic compressions of air, water, or other media
-
Sound waves vary in amplitude and frequency
Physics and Psychology of Sound
-
Amplitude refers to the intensity of the sound wave
-
Frequency is the number of compressions per second and is measured in hertz (Hz)
-
Related to the pitch (high to low)
-
Timbre is tone quality or tone complexity
Physics and the Psychology of Sound (p. 188)

-
Amplitude and Frequency of Sounds
-
Children hear higher frequencies than adults; the ability to recognize high frequencies diminishes with age and exposure to loud noises
-
People communicate emotion by alterations in pitch, loudness, and timbre
Structures of the Ear
-
Anatomists distinguish the outer ear, the middle ear, and the inner ear
-
The outer ear includes the pinna, the structure of flesh and cartilage attached to each side of the head
-
Responsible for:
-
Altering the reflection of sound waves into the middle ear from the outer ear
-
Helping us to locate the source of a sound
Structures of the Ear—The Middle Ear to the Inner Ear
-
The middle ear contains the tympanic membrane, which vibrates at the same rate when struck by sound waves
-
Also known as the ear drum
-
Connects to three tiny bones (malleus, incus, and stapes) that transform waves into stronger waves to the oval window
-
Earaches often come from infections to middle ear and can be quite painful. I recall tremendous relief when my eardrum burst during an earache. The eardrum grows back, btw.
-
Oval window is a membrane in the inner ear: transmits waves through the viscous fluid of the inner ear
Structures of the Ear—The Inner Ear
-
The inner ear contains a snail shaped structure called the cochlea
-
Contains three fluid-filled tunnels
-
Hair cells are auditory receptors that lie between the basilar membrane and the tectorial membrane in the cochlea
-
When displaced by vibrations in the fluid of the cochlea, they excite the cells of the auditory nerve by opening ion channels
Structures of the Ear (p. 190)

Hair Cells from a Human Cochlea (p. 191)

This artificially colored electron micrograph shows stereocilia (the crescent-shaped structures across the center of the photo) atop hair cells. As a sound wave moves the fluid across the stereocilia, it bends them, triggering responses by the hair cells.
Pitch Perception
-
Place theory: each area along the basilar membrane has hair cells sensitive to only one specific frequency of sound wave
-
Frequency theory: the basilar membrane vibrates in synchrony with the sound and causes auditory nerve axons to produce action potentials at the same frequency
-
The current pitch theory combines modified versions of both the place theory and frequency theory:
-
Low frequency sounds best explained by the frequency theory
-
High frequency sounds best explained by place theory
The Volley Principle
-
The auditory nerve produces volleys of impulses (for sounds up to about 4000 per second)
-
No individual axon solely approaches that frequency
-
Requires auditory cells to precisely time their responses
-
Hearing of higher frequencies not well understood
Pitch Perception Illustration (p. 191)

High-frequency sounds excite hair cells near the base. Low frequency sounds excite cells near the apex. A flag in high and light winds makes a good analog.
The Auditory Cortex
-
The primary auditory cortex (area A1) is the destination for most information from the auditory system
-
Located in the superior temporal cortex
-
Each hemisphere receives most of its information from the opposite ear
Organization of the Auditory Cortex
-
Parallels that of the visual cortex
-
“what” and “where” pathways
-
Superior temporal cortex allows detection of the motion of sound
-
Area A1 is important for auditory imagery
-
Requires experience to develop properly
-
Axons leading from the auditory cortex develop less in people deaf since birth
Route of Auditory Impulses (p. 192)

The cochlear nucleus receives input from the ipsilateral ear only (the one on the same side of the head). All later stages have input from both ears, but more strongly from the contralateral ear.
Functions of the Auditory Cortex
-
Not necessary for hearing, but for processing the information
-
Provides a tonotopic map in which cells in the primary auditory cortex are more responsive to preferred tones
-
Some cells respond better to complex sounds than pure tones
-
Damage to A1 does not necessarily cause deafness unless damage extends to the subcortical areas
The Human Primary Auditory Cortex (p. 193)

Cells in each area respond mainly to tones of a particular frequency.
Additional Auditory Areas
-
Areas around the primary auditory cortex exist in which cells respond more to changes in sound than to prolonged sounds
-
Surrounding the primary auditory cortex are additional auditory areas that respond best to what we might call auditory “objects”—sounds such as animal cries, machinery noises, and music
Sound Localization
-
Depends upon comparing the responses of the two ears
-
Three cues:
-
Sound shadow
-
Time of arrival
-
Phase difference
-
Humans localize low frequency sound by phase difference and high frequency sound by loudness differences
Three Mechanisms of Sound Localization
-
High-frequency sounds (2000–3000 Hz) create a “sound shadow”
-
Difference in time of arrival at the two ears most useful for localizing sounds with sudden onset
-
Phase difference between the ears provides cues to sound localization with frequencies up to 1500 Hz
Loudness and Arrival Times as Cues for Sound Localization (p. 193)

Sounds reaching the closer ear arrive sooner as well as louder because the head produces a “sound shadow.”
Sound Waves in Phase or Out of Phase (p. 194)

Sound waves that reach the two ears in phase are perceived as coming from directly in front of (or behind) the hearer. The more out of phase the waves, the farther the sound source is from the body’s midline.
Phase Differences as a Cue for Sound Localization (p. 194)

A sound coming from anywhere other than straight ahead or straight behind reaches the two ears at different phases of the sound wave. The difference in phase is a signal to the sound’s direction. With high-frequency sounds, the phases become ambiguous.
Individual Differences
-
“Amusia”: the impaired detection of frequency changes (tone deafness)
-
Around 4 percent of people experience amusia
-
Associated with thicker than average auditory cortex in the right hemisphere, but fewer connections from auditory cortex to frontal cortex
Variations in Sensitivity to Pitch
-
Absolute pitch (“perfect pitch”) is the ability to hear a note and identify it
-
Genetic predisposition may contribute to it
-
The main determinant is early and extensive musical training
-
More common among people who speak tonal languages, such as Vietnamese and Mandarin Chinese
Deafness
-
Two categories of hearing impairment
-
Conductive or middle ear deafness
-
Nerve deafness or inner ear deafness
Conductive/Middle Ear Deafness
-
Occurs if bones of the middle ear fail to transmit sound waves properly to the cochlea
-
Can be caused by disease, infections, or tumorous bone growth
-
Normal cochlea and auditory nerve allow people to hear their own voice clearly
-
Can be corrected by surgery or hearing aids that amplify the stimulus
Nerve or Inner-Ear Deafness
-
Results from damage to the cochlea, the hair cells, or the auditory nerve
-
Can vary in degree
-
Can be confined to one part of the cochlea
-
People can hear only certain frequencies
Can be inherited or caused by prenatal problems or early childhood disorders
Tinnitus
-
Frequent or constant ringing in the ears
-
Experienced by many people with nerve deafness
-
Sometimes occurs after damage to the cochlea
-
Axons representing other part of the body innervate parts of the brain previously responsive to sound
-
Similar to the mechanisms of phantom limb
Hearing, Attention, and Old Age
-
Brain areas responsible for language comprehension become less active
-
Many older people have a decrease in the inhibitory neurotransmitters in the auditory portions of the brain
-
Thus, they have trouble suppressing the irrelevant sounds and attending to the important one
-
Attention improves if the listener watches the speaker’s face
Audition (more)
- Ear Diagram
- Frequency: distance from peak to peak in sound waves. Measure in Hertz (cycles/second). Perceived as tone
- Amplitude: distance from top to bottom of peaks. Measured in decibels. Perceived as loudness.
- The Ear
- Know the structure and parts: outer: pinna, auditory canal; middle: eardrum, hammer, anvil, stirrup; inner: cochlea, vestibular organ
- Medium: sound requires a medium (solid, liquid, gas) and sound cannot travel in a vacuum
- Helium: inhale helium and speak normally, voice sounds higher because helium is a lighter element than air (nitrogen plus oxygen)
- Your recorded voice?: recorded voice sounds strange because listeners hear themselves via the air and their facial bones
- Sound
Localization
- Pinnae: the outer ear structures. Some animals have moveable outer ears, humans do not.
- Move head: in order to localize sounds, humans must move their heads so that sound enters on ear first and then the other. Sound is slow enough to hit one ear first and then the other. But, if the sound waves hit both ears simultaneously (e.g., when coming from front or back) sound localization is impossible.
- Slow: comparared to the speed of light, sound is very slow.
- Cocktail party phenomenon: hearing your name from another nearby source while attending to your own conversation
- Pony Express
- Horse's ears: in this children's story a pony express rider escapes harm from native Americans by watching his pony's ears and riding in the opposite direction the pony's ears point.
- Hearing Aids
- Cheap vs Expensive: the cheapest hearing aids amplify all frequencies; they are just louder. Expensive hearing aids, especially those using AI, can be programmed to only amplify frequencies that the hearer has difficulty hearing and by blocking the frequencies of background noises.
Module 6.2 The Mechanical Senses (p. 198)
-
The mechanical senses respond to pressure, bending, or other distortions of a receptor
-
These include touch, pain, and other body sensations, as well as vestibular sensation, which detects the position and movement of the head
-
Audition is a complex mechanical sense because the hair cells are modified touch receptors
Vestibular Sensation
-
The vestibular sense: system that detects the position and movement of the head
-
Directs compensatory movements of the eye and helps to maintain balance
-
The vestibular organ is in the ear and is adjacent to the cochlea
-
The Vestibular Organ
-
Comprises two otolith organs (the saccule and utricle) and three semicircular canals
-
Otoliths are calcium carbonate particles that push against different hair cells and excite them when the head tilts
-
Semicircular canals are filled with a jellylike substance and hair cells that are activated when the head moves
-
Action potentials travel to the brain stem and cerebellum
Structures for Vestibular Sensation (p. 199)

-
Kinesthesis and Vestibular
- Kinesthesis: This system consists of receptors in muscle fibers and joints that inform the location of body parts.
- Demos:
- 1) touch the tips of your two index fingers behind your head. Did they touch exactly together, or were they a little off.
- 2) Close your eyes and touch the tip of your nose with your index fingers alternately. How close were you? No try it with both eyes open. Better, right?
Both of these are examples of proprioreception.
- Upright?: Kinesthesis also informs about being upright or tilted. Imagine walking uphill or downhill, how do you react?
- Rod and frame test: The rod and frame test measures the possible discrepancy between gravitational and visual cues. People who respond more to the orientation of the room to perceive the upright are termed "field dependent" while people who respond more to gravity are called "field independent."
- Phantom limb: Often, traumatic or surgical loss of limb is not noticed kinesthetically, meaning that the person still perceives the limb as attached and present. Itch and pain often accompany phantom limb. For example, a foot may no longer be attached but the person feels pain as if the foot were still there.
- Vestibular
System: The vestibular system is in the inner ear and senses acceleration, either due to gravity or to change in velocity. Children often spin until they can no longer remain upright. They fall and nystagmus takes place. That's the perception that the world is spinning around them. As a two-dimensional species, humans often get in trouble in 3D environments such piloting an airplane or scuba diving.
- Balance: The vestibular system is one component of the human balance system. Sometimes, people will be unable to maintain their balance when they have a severe ear infection.
- "Balance is achieved and maintained by a complex set of sensorimotor control systems that include sensory input from vision (sight), proprioception (touch), and the vestibular system (motion, equilibrium, spatial orientation); integration of that sensory input; and motor output to the eye and body muscles. Injury, disease, certain drugs, or the aging process can affect one or more of these components. In addition to the contribution of sensory information, there may also be psychological factors that impair our sense of balance." See Source of quote
Somatosensation
-
Refers to the sensation of the body and its movements
-
Includes discriminative touch, deep pressure, cold, warmth, pain, itch, tickle, and the position and movement of the joints
Somatosensory Receptors
-
Touch receptors may be:
-
Simple bare neuron ending
-
A modified dendrite (Merkel disks)
-
An elaborated neuron ending
-
A bare ending surrounded by non-neural cells that modify its function
-
Stimulation opens sodium channels to trigger an action potential
Sensory Receptors in the Skin (p. 200)

Somatosensory Receptors and Probable Functions (p. 199)
Receptor |
Location |
Responds to |
Free nerve Ending |
Any skin area |
Pain and temperature |
Hair-follicle receptors |
Hair-covered skin |
Movement of hairs |
Meissner’s corpuscles |
Hairless areas |
Movement across the
Skin |
Pacinian corpuscles |
Any skin area |
Vibration or sudden
Touch |
Merkel’s disks |
Any skin area |
Static touch |
Ruffini endings |
Any skin area |
Skin stretch |
Krause and bulbs |
Mostly hairless areas |
Uncertain |
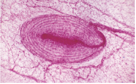
The Pacinian Corpuscle
-
A type of touch receptor that detects sudden displacement or high-frequency vibrations on the skin
-
Onion-like outer structure resists gradual or constant pressure
-
Sudden or vibrating stimulus bends the membrane and increases the flow of sodium ions to triggers an action potential
A Pacinian Corpuscle (p. 200)

Pacinian corpuscles are receptors that respond best to sudden displacement of the skin or to high-frequency vibrations. The onion-like outer structure provides a mechanical support to the neuron inside it so that a sudden stimulus can bend it but a sustained stimulus cannot.
Merkel Disks
-
Receptors that respond to light touch (i.e., gentle stroking of the skin)
-
Men and women generally have the same number of Merkel disks, but women tend to have smaller fingers
-
Results in Merkel disks compacted into a smaller area and being more sensitive to feeling the distances between grooves
Receptors for Temperature
-
Important that humans can regulate temperature as both overheating and overcooling can be fatal
-
Cold-sensitive neurons respond to drops in temperature, adapt quickly, and show little response to constant, cold temperatures
-
Heat-sensitive neurons respond to absolute temperature
-
Chemicals can stimulate receptors for heat and cold, for example, capsaicin & menthol
-
Tickle
-
The sensation of tickle is poorly understood
-
The reason we cannot tickle ourselves is that our brain compares the resulting stimulation to the “expected” stimulation and generates a weaker somatosensory response
Somatosensation in the Central Nervous System (CNS)
-
Information from touch receptors in the head enters the CNS through the cranial nerves
-
Information from receptors below the head enters the spinal cord and travel through the 31 spinal nerves to the brain
The Human Central Nervous System (p. 201)

Spinal nerves from each segment of the spinal cord exit through the correspondingly numbered opening between vertebrae.
Somatosensation in the Central Nervous System
-
Each spinal nerve has a sensory component and a motor component and connects to a limited area of the body
-
A dermatome: a body area innervated by a single sensory spinal nerve
-
Sensory information entering the spinal cord travel in well-defined and distinct pathways
-
Example: touch pathway is distinct from pain pathway
Dermatomes Innervated by 31 Sensory Spinal Nerves (p. 202)

Areas I, II, and III of the face are not innervated by the spinal nerves but instead by three branches of the fifth cranial nerve. Although this figure shows distinct borders, the dermatomes actually overlap one another by about one-third to one-half of their width.
The Somatosensory Cortex
-
Various aspects of body sensations remain separate all the way to the cortex
-
Various areas of the somatosensory thalamus send impulses to different areas of the somatosensory cortex located in the parietal lobe
-
Different sub areas of the somatosensory cortex respond to different areas of the body
-
Damage to the somatosensory cortex can result in the impairment of body perceptions
-
Two-point threshold
-
Demo: Carefully and with a partner uses two pointed objects (sharpened pencils work well). Take turns to serve as experimenter and participant. Blindfold the participant and simultaneously with both pencils LIGHTLY stimulate the lips, fingers, and back. Ask the participant, "Do you feel one touch or two?" as the experimenter varies the distance between the points. The two-point threhold (meaning feeling both points) will vary. On the lips and finger tips very little distance will yield a "Yes, I feel two points" answer. But, on the back the distance will be much larger.
Pain
-
The experience evoked by a harmful stimulus and directs one’s attention toward a danger
-
Pain sensation begins with the least specialized of all receptors (bare nerve endings)
-
Some pain receptors also respond to acids, heat, or cold
-
Axons carrying pain info have little or no myelin: impulses travel slowly
-
However, brain processes pain information rapidly and motor responses are fast
-
Mild pain triggers the release of glutamate in the spinal cord
-
Stronger pain triggers the release of glutamate and releases several neuropeptides including substance P and CGRP (calcitonin gene-related peptide)
Spinal Pathways for Touch and Pain (p. 203)

Pain information crosses to the contralateral side of the spinal cord at once, whereas touch information does not cross until the medulla. Touch and pain sensations from the right side of the body (not shown in the figure) are the mirror image of what you see here.
Emotional Pain
-
Emotional associations of pain
-
Activate a path that goes through the reticular formation of the medulla
-
And then to several of the central nuclei of the thalamus, the amygdala, hippocampus, prefrontal cortex, and cingulate cortex
-
Experimenters monitored people’s brain activity and found hurt feelings activate similar pathways as physical pain
Pain Messages in the Human Brain (p. 204)

A pathway to the thalamus, and from there to the somatosensory cortex, conveys the sensory aspects of pain. A separate pathway to the hypothalamus, amygdala, and cingulate cortex produces the emotional aspects.
Ways of Relieving Pain
-
Opioid mechanisms are systems that are sensitive to opioid drugs and similar chemicals
-
Opiates bind to receptors found mostly in the spinal cord and the periaqueductal gray area of the midbrain
-
Endorphins: group of chemicals that attach to the same brain receptors as morphine
-
Different types of endorphins for different types of pain
-
Runner's High: the pleasant feeling during exercise caused by release of endorphins
Gate Theory
-
Proposes that the spinal cord areas that receive messages from pain receptors also receive input from touch receptors and from axons descending from the brain
-
These other areas that provide input can close the “gates” by releasing endorphins and decrease pain perception
-
Non-pain stimuli around it can modify the intensity of the pain
Synapses for Pain and Its Inhibition (p. 205)

A neuron releases endorphins at presynaptic synapses, thereby inhibiting a cell conveying pain sensations.
Ways of Relieving Pain—The Periaqueductal Gray Area (p. 206)

Periaqueductal means “around the aqueduct,” a passageway of cerebrospinal fluid between the third and fourth ventricles.
Other Ways of Relieving Pain
-
Placebo: a drug or other procedure with no pharmacological effect
-
Decreases the brain’s emotional response to pain perception, not the sensation itself
-
Cannabinoids: chemicals related to marijuana that block certain kinds of pain
-
Act mainly in the periphery of the body
-
Capsaicin: produces a temporary burning sensation followed by a longer period of decreased pain
Sensitization of Pain
-
Mechanisms of the body to increase sensitivity to pain
-
Damaged or inflamed tissue releases histamine, nerve growth factor, and other chemicals that increase the responses of nearby pain receptors
-
Certain receptors become potentiated after an intense barrage of painful stimuli
-
Leads to increased sensitivity or chronic pain later
Itch
-
The release of histamines by the skin produce itching sensations
-
Activates a distinct pathway in the spinal cord to the brain
-
Impulses travel slowly along this pathway (half a meter per second)
-
Pain and itch have an inhibitory relationship
-
Opiates increase itch while antihistamines decrease itch
Skin Senses:
Some consider the skin as the largest organ of the body. Detectors in the skin sense: touch, hot, cold, and pain.
- Skin Diagram: the hypothetical diagram shows small patches of skin might be. Note that some areas of the skin are unable to sense any stimuli.
- Brass Instrument
Psychology
- One place psychology started. Many early psychologists (late 19th century) focused on sensation and perception, and the instruments the used were largely made of brass.
- Pain: read. Explains: free nerve endings, money spent on pain, role of the environment, physiology, analgesics, and anesthetics.
- Gate theory: posits fast and slow pain pathways and "gate" that either allows pain signal through or not see video
- Psychology of pain: WWII doctors discovered that soldiers traumatically wounded and brought to hospitals reported less pain than did their patients from civilian practice undergoing similar trauma (e.g., traumatic limb amputations). For those soldiers going to the hospital was better than staying in combat and possibly being killed. Consider civilians going to the hospital. That is very different because they view the hospital as a place where they will experience more, not less, pain.
Module 6.3 The Chemical Senses (p. 211)
-
The first sensory system of the earliest animals was a chemical sensitivity
-
A chemical sense enables a small animal to find food, avoid certain kinds of danger, and even locate mates
Taste
-
Taste has one simple function—to tell us whether to swallow something or spit it out
-
We like sweet tastes even in infancy
-
We dislike bitter and sour, but will accept in small amounts
-
We vary in our like of salty flavors
Taste and Smell
-
Taste refers to the stimulation of the taste buds, which are receptors on the tongue
-
Our perception of flavor is the combination of both taste and smell
-
Taste and smell axons converge in the endopiriform cortex
Taste Receptors
-
Receptors for taste are modified skin cells
-
Taste receptors have excitable membranes that release neurotransmitters to excite neighboring neurons
-
Taste receptors are replaced every 10–14 days
Papillae and Taste Buds
-
Papillae are structures on the surface of the tongue that contain the taste buds
-
Each papillae may contain up to ten or more taste buds
-
Each taste bud contains approximately 50 receptors
-
Most taste buds are located along the outside edge of the tongue in humans
The Organs of Taste (p. 212)

(a) The tip, back, and sides of the tongue are covered with taste buds. Taste buds are located in papillae. (b) Photo showing cross-section of a taste bud. Each taste bud contains about 50 receptor cells.
Taste Perception—Taste Receptors
-
Western societies have traditionally described sweet, sour, salty and bitter tastes as the “primary” tastes and the four types of receptors
-
Procedures that alter one receptor but not others can be used to identify taste receptors
-
Some substances that can modify tastes
-
Miracle berries—miraculin
-
Gymnema sylvestre tea
-
Adaptation and Cross-Adaptation
-
Adaptation refers to reduced perception of a stimuli due to the fatigue of receptors
-
Cross-adaptation refers to reduced response to one stimuli after exposure to another
Taste Perception—Umami and “Oleogustus”
-
Although we describe tastes as sweet, sour, salty, and bitter as the “primary,” evidence suggests a fifth type of glutamate receptor (umami)
-
MSG
-
Tastes like unsalted chicken broth
- Cats taste umami: "We postulate that the renowned palatability of tuna for cats may be due, at least in part, to its specific combination of high levels of inosine monophosphate and free l-Histidine that produces a strong synergistic umami taste enhancement. These results demonstrate the critical role that the umami receptor plays in enabling cats to detect key taste compounds present in meat." Scott J McGrane, Matthew Gibbs, Carlos Hernangomez de Alvaro, Nicola Dunlop, Marcel Winnig, Boris Klebansky, Daniel Waller, Umami taste perception and preferences of the domestic cat (Felis catus), an obligate carnivore, Chemical Senses, Volume 48, 2023, bjad026, https://doi.org/10.1093/chemse/bjad026
- Note the quote from the Abstract of the recent article above.
-
Some research suggests that the ability to taste fats is a sixth type of taste
-
For now, this is being called oleogustus
Responses to Four Tastes (p. 213)

Each taste was presented for 5 seconds, marked by the Stimulus line at the bottom. Responses persisted until the tongue was washed with water, at the point marked by the arrow. The four lines represent S 5 sucrose (sweet), N 5 NaCl, table salt (salty), H 5 HCl, hydrochloric acid (sour), and Q 5 quinine (bitter).
Mechanisms of Taste Receptors
-
The saltiness receptor permits sodium ions to cross the membrane
-
Results in an action potential
-
Sour receptors detect the presence of acids
-
Sweetness, bitterness, and umami receptors activate a G protein that releases a second messenger in the cell when a molecule binds to a receptor
Bitter Receptors
-
Bitter taste is associated with a wide range of dissimilar substances that are toxic
-
About 25 types bitter receptors are sensitive to a wide range of chemicals with varying degrees of toxicity
-
Most taste cells contain only a small number of these receptors
-
We are sensitive to a wide range of harmful substances, but not highly sensitive to any single one
Taste Coding in the Brain
-
Different nerves carry taste information to the brain from the anterior two-thirds of the tongue rather than from the posterior tongue and throat
-
Taste nerves project to a structure in the medulla known as the nucleus of the tractus solitarius (NTS)
-
Projects information to various parts of the brain
-
Various areas of the brain are responsible for processing different taste information
-
The somatosensory cortex responds to the touch aspect of taste
-
The insula is the primary taste cortex
-
Each hemisphere of the cortex is also responsive to the ipsilateral side of the tongue
Major Routes of Impulses Related to Taste (p. 215)

The thalamus and cerebral cortex receive impulses from both the left and the right sides of the tongue.
Variations in Taste Sensitivity
-
In humans, genetic factors and hormones can account for some differences in taste sensitivity
-
Variations in taste sensitivity are related to the number of fungiform papillae near the tip of the tongue
-
Supertasters have higher sensitivity to all tastes and mouth sensations in general
-
Women have higher sensitivity to taste while pregnant
Variations in Taste Sensitivity (% non-tasters) (p. 216)

Fungiform Papillae in Taste Sensitivity (p. 215)

People with a greater density of papillae (top) are supertasters, with strong reactions to intense tastes. People with fewer papillae are tasters or nontasters (bottom).
Are You a Supertaster, Taster, or Nontaster? (p. 215)

Olfaction
-
The sense of smell
-
The detection and recognition of chemicals that contact the membranes inside the nose
-
Critical in most mammals for finding food and mates, and avoiding danger
-
Rats and mice show an immediate, unlearned avoidance of the smells of cats, foxes, and other predators
Loss of an Olfaction Receptor (from 13th ed.)

Normal mice innately avoid the smell of cats, foxes, and other predators. This mouse lacked the relevant olfactory receptors. Fortunately for the mouse this cat had just eaten a large meal.
Scent Selection
-
Even humans can follow a scent trail to some extent, and we get better with practice
-
Important for our food selection
-
Most of what we perceive as taste is actually olfaction
-
Eating is multisensorial. We taste, smell, hear, see, feel, and, sometimes, are caused pain by our food.
Following a Scent Trail (from 13th ed.)

Most people successfully followed a trail with only their nose to guide them.
Olfaction in Social Behavior
-
Humans tend to prefer the smell of potential romantic partners who smell different from themselves and their family members
-
Decreases the risk of inbreeding
-
Increases the probability that children will have a wide range of immunities
Olfactory Receptors
-
Olfactory cells line the olfactory epithelium in the rear of the nasal passage and are the neurons responsible for smell
-
Olfactory receptors are located on cilia, which extend from the cell body into the mucous surface of the nasal passage
-
Vertebrates have hundreds of olfactory receptors, which are highly responsive to some related chemicals and unresponsive to others
Olfactory Receptors (p. 218)

(a) Location of receptors in nasal cavity. (b) Close-up of olfactory cells.
Olfactory Coding
-
Proteins in olfactory receptors respond to chemicals outside the cells and trigger changes in G protein inside the cell
-
G protein then triggers chemical activities that lead to action potentials
An Olfactory Receptor Protein (p. 219)

This protein resembles the synaptic receptor protein in Figure 2.17. It responds to a chemical outside the cell and triggers activity of a G protein inside the cell. Different olfactory receptors differ slightly in their structure. Each little circle in this diagram represents one amino acid of the protein. The light green circles represent amino acids that are the same in most of the olfactory receptor proteins. The dark green circles represent amino acids that vary.
Olfaction in the Brain
-
Axons from olfactory receptors carry information to the olfactory bulb
-
Chemicals that smell similar excite neighboring areas; chemicals that smell different excite more separated areas
-
Coding in the brain is determined by which part of the olfactory bulb is excited
-
The olfactory bulb sends axons to the cerebral cortex, where messages are coded by location
Olfactory Damage
-
Olfactory receptors are replaced approximately every month because they are vulnerable to damage from contact with the air
-
These are subject to permanent impairment from massive damage
-
Anosmia
Differences in Olfaction
-
Individual differences in olfaction exist
-
Women detect odor more readily than men
-
The ability to detect a faint odor and become more sensitive to it is characteristic of young adult women; seems to be influenced by hormones
-
Mice with a gene that controls a channel through which most potassium travels to reach the olfactory bulb developed a sense of super smell
Pheromones
-
Chemicals released by an animal to affect the behavior of others of the same species
-
The vomeronasal organ (VNO) is a set of receptors found in most mammals located near the olfactory receptors that are sensitive to pheromones
The VNO and Pheromones
-
The VNO and pheromones are important for most mammals, but less so for humans
-
The VNO is tiny in human adults and has no receptors and is considered vestigial
-
Humans unconsciously respond to some pheromones through receptors in the olfactory mucosa
-
Example: synchronization of menstrual cycles in women
Chemical Senses (more)
- The Tongue: the tongue contains four separate areas (taste buds) to detect tastes plus an additional sensation: umami
- Taste buds are housed on the tongue
- The Four
Tastes: the four basic tastes are: sweet, sour, salty, and bitter
- Umami too: Umami is a brothy or meaty taste. Foods high in the amino acid glutamate provide the sensation. Examples include: parmesan cheese, seaweed, miso soup, and mushrooms.
- The Nose: the nose is the organ of odor recognition. It is the least well known of the senses.
- Odor Perception: One reason studying odor perception is difficult is because we possess few words that adequately describe odors. In Cain's (1982) participants were asked to identify odors from familiar sources. Johnson's Baby Powder and chocolate were the most recognized stimuli.
- The sense of smell does not connect through the thalamus. All of the other senses do first connect to the thalamus.
- The olfactory epithelium is where the sense organs for smell are located.
- Savoring: Eating involves all of the senses. Imagine a plate of fajitas arriving at the table. It sizzles, smells, has visual appeal, is hot, and may be spicy enough to cause pain.
- All senses involved
- Disgust: One way to study savoring is to look at its opposite: disgust. Rozin has made a career out of studying disgust and offers examples of chocolate fudge shaped like dog droppings and rotting flesh. My disgusting example is bean dip. Like it? How about if its served in a diaper?
- Your House
Stinks!: It does, but sensory fatigue (adaptation) explains why its not perceived.
Synesthesia
-
The experience of one sense in response to stimulation of a different sense
-
An example would be seeing a number or a letter as a specific color
-
Tends to cluster in families that also have perfect pitch
Disgust
-
Paul Rozin
-
Examples
- Fudge shaped like doggie doo doo (tastes good, looks bad)
- Bean dip, served in a diaper (tastes good, looks bad)
Back to Main Page